Three expert speakers in the vEM and cell biology fields will present live on 27 February 2026 on their latest insights in cellular architecture and organelle interaction derived through volume and high throughput EM data. Audience can find out how these novel, organelle-level insights shed light on the cellular mechanisms in signal detection, stem cell differentiation and oncogenic cancer progression.
January 26, 2026 – Delft, Netherlands – Delmic announces its upcoming vEM webinars session on 27 February, 2026, bringing three vEM and cell biology experts from the US, UK and Europe to one virtual podium.
Details of speakers and presentations:
Dr Carolyn Ott, Senior Scientist, Janelia Research Campus, US
Unprecedented insights into brain primary cilia revealed by volume EM
Primary cilia play central roles in brain development and physiological regulation, yet their small size and sparse distribution have made them difficult to study by conventional electron microscopy (EM). Using large-volume EM datasets originally acquired for connectomic studies, we identified and analyzed primary cilia across diverse brain regions, including the developing cerebellum and adult cortex.
The high-resolution ultrastructure, along with features of the extracellular environment, revealed a novel cilia disassembly pathway in cerebellar granule cell neurons and led to new hypotheses on the origin of cilia-detected signals. These studies illustrate how mining volume EM connectomic datasets can uncover new cellular features and mechanisms beyond synaptic connectivity.
Dr Vito Mennella, Reader in Nanoscale Biology, Queen Mary University London, UK
Building a Single-Cell Atlas of the Respiratory Epithelium with Volume EM
A major frontier in single cell biology is decoding how transcriptional states result in cellular-level architectural changes, ultimately driving function. A remarkable example of this cellular remodelling program is the differentiation of airway stem cells into the human respiratory multiciliated epithelium, a tissue barrier protecting against bacteria, viruses and particulate matter.
Here, we present the first isotropic three-dimensional map of the airway epithelium at the nanometre scale by Volume EM unveiling the coordinated changes in cellular organisation, organelle topology and contacts, occurring during multiciliogenesis. This analysis led us to discover a new organelle contact suggesting mechanism of communication whereby motile cilia relay mechanical information to mitochondria through striated cytoskeletal fibres, the rootlets, to promote effective ciliary motility and ATP generation. Altogether, this study integrates nanometre-scale structural, functional and dynamic insights to elucidate fundamental mechanisms responsible for airway defence.
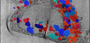
Dr Nalan Liv, Assistant Professor, University Medical Center Utrecht, The Netherlands
High-Resolution Visualization of Organelle Remodeling and Interactions in Cancer Cells
Cancer cells undergo extensive reprogramming of intracellular architecture to support uncontrolled proliferation, metabolic adaptation, and stress resilience. Using a combination of fluorescence microscopy, (immuno) electron microscopy, and advanced volume electron microscopy (FAST-EM), we characterized profound remodeling of lysosomes, mitochondria, and the endoplasmic reticulum, together with increased inter-organelle contacts that facilitate coordinated cellular responses. These structural and functional reorganizations underpin key oncogenic traits and provide mechanistic insight into how organelle rewiring underlie cancer progression. Integration of high-resolution 3D imaging with computational analyses offers an unprecedented framework for quantifying organelle architecture and interactions, revealing potential vulnerabilities for therapeutic intervention.
Webinars session details and registration
The webinars session on 27 February 2026 will run from 4pm CET to 5pm CET. There will be three talks followed by a live Q&A.
Register now to attend live by following this link!
About Delmic
Delmic is passionate about making nanoimaging accessibly. Through offering innovation high throughput SEM imaging workflows, Delmic aims to unlock the powerful, nano, ultrastructural insights in biological systems and thereby shed light on the underlying cellular mechanisms, driving knowledge and discoveries in life science R&D.
Banner image courtesy of Lakshmi Edakkandiyil, Dr Nalan Liv Group, UMC Utrecht, The Netherlands


